Layout De Seis Bandeiras A Todo Vapor

Images for Layout De Seis Bandeiras A Todo Vapor

Redesignei mais 16 bandeiras de cidades e vilas do Texas, incluindo a de  Houston! : r/houston, image size:3464x3464
Redesignei mais 16 bandeiras de cidades e vilas do Texas, incluindo a de Houston! : r/houston
image size: 3464x3464
Guía de recompensas fácil para el desafío Abominación en BO6, image size:1005x1461
Guía de recompensas fácil para el desafío Abominación en BO6
image size: 1005x1461
A terrible passage from Africa: Remembering the Transatlantic slave trade, image size:1365x667
A terrible passage from Africa: Remembering the Transatlantic slave trade
image size: 1365x667
The Intrepid Mariner Simão (Fourteen) - Slave Portraiture in the Atlantic  World, image size:1246x1468
The Intrepid Mariner Simão (Fourteen) - Slave Portraiture in the Atlantic World
image size: 1246x1468
Impedance spectroscopy of the cell/nanovolcano interface enables  optimization for electrophysiology | Microsystems \u0026 Nanoengineering, image size:1200x1089
Impedance spectroscopy of the cell/nanovolcano interface enables optimization for electrophysiology | Microsystems \u0026 Nanoengineering
image size: 1200x1089
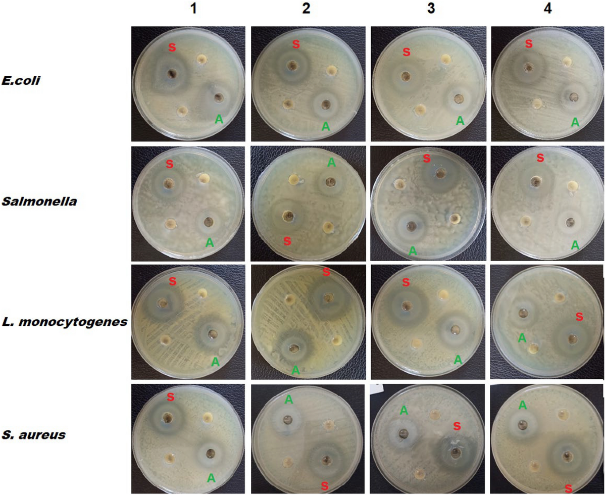
Green synthesis of cellulose nanocrystal/ZnO bio-nanocomposites exerting  antibacterial activity and downregulating virulence toxigenic genes of  food-poisoning bacteria | Scientific Reports, image size:2007x1765
Green synthesis of cellulose nanocrystal/ZnO bio-nanocomposites exerting antibacterial activity and downregulating virulence toxigenic genes of food-poisoning bacteria | Scientific Reports
image size: 2007x1765
Portuguese merchant hi-res stock photography and images - Alamy, image size:1300x1088
Portuguese merchant hi-res stock photography and images - Alamy
image size: 1300x1088
Fecal-adherent mucus is a non-invasive source of primary human MUC2 for  structural and functional characterization in health and disease - Journal  of Biological Chemistry, image size:2941x3062
Fecal-adherent mucus is a non-invasive source of primary human MUC2 for structural and functional characterization in health and disease - Journal of Biological Chemistry
image size: 2941x3062
Cryo-EM structure of endogenous Pfs230:Pfs48/45 complex with six antibodies  reveals mechanisms of malaria transmission-blocking activity: Immunity, image size:996x996
Cryo-EM structure of endogenous Pfs230:Pfs48/45 complex with six antibodies reveals mechanisms of malaria transmission-blocking activity: Immunity
image size: 996x996
Frontiers | Scalable Production of Human Mesenchymal Stromal Cell-Derived  Extracellular Vesicles Under Serum-/Xeno-Free Conditions in a  Microcarrier-Based Bioreactor Culture System, image size:3701x1328
Frontiers | Scalable Production of Human Mesenchymal Stromal Cell-Derived Extracellular Vesicles Under Serum-/Xeno-Free Conditions in a Microcarrier-Based Bioreactor Culture System
image size: 3701x1328
Cryo-EM structure of endogenous Pfs230:Pfs48/45 complex with six antibodies  reveals mechanisms of malaria transmission-blocking activity: Immunity, image size:3337x4250
Cryo-EM structure of endogenous Pfs230:Pfs48/45 complex with six antibodies reveals mechanisms of malaria transmission-blocking activity: Immunity
image size: 3337x4250
Large-Scale Metabolite Imaging Gallery of Mouse Organ Tissues to Study  Spatial Metabolism | Journal of Proteome Research, image size:1723x559
Large-Scale Metabolite Imaging Gallery of Mouse Organ Tissues to Study Spatial Metabolism | Journal of Proteome Research
image size: 1723x559
THE EUROPEAN ANIMATION JOURNAL - FALL 2024 by BM srl - Issuu, image size:1308x1875
THE EUROPEAN ANIMATION JOURNAL - FALL 2024 by BM srl - Issuu
image size: 1308x1875
Frontiers | Scalable Production of Human Mesenchymal Stromal Cell-Derived  Extracellular Vesicles Under Serum-/Xeno-Free Conditions in a  Microcarrier-Based Bioreactor Culture System, image size:4812x4644
Frontiers | Scalable Production of Human Mesenchymal Stromal Cell-Derived Extracellular Vesicles Under Serum-/Xeno-Free Conditions in a Microcarrier-Based Bioreactor Culture System
image size: 4812x4644
Why is blue light hard to create?, image size:1536x2048
Why is blue light hard to create?
image size: 1536x2048
Cryo-EM structure of endogenous Pfs230:Pfs48/45 complex with six antibodies  reveals mechanisms of malaria transmission-blocking activity: Immunity, image size:2951x2849
Cryo-EM structure of endogenous Pfs230:Pfs48/45 complex with six antibodies reveals mechanisms of malaria transmission-blocking activity: Immunity
image size: 2951x2849
Lighthouses in the USA. So I just learned that lighthouses historically  struggled with rotating their lights effectively, as most mechanisms were  too slow to make the beams clearly visible at a distance., image size:1440x1164
Lighthouses in the USA. So I just learned that lighthouses historically struggled with rotating their lights effectively, as most mechanisms were too slow to make the beams clearly visible at a distance.
image size: 1440x1164
Acute myeloid leukemia mitochondria hydrolyze ATP to support oxidative  metabolism and resist chemotherapy | Science Advances, image size:3580x4350
Acute myeloid leukemia mitochondria hydrolyze ATP to support oxidative metabolism and resist chemotherapy | Science Advances
image size: 3580x4350
Fecal-adherent mucus is a non-invasive source of primary human MUC2 for  structural and functional characterization in health and disease - Journal  of Biological Chemistry, image size:2691x4342
Fecal-adherent mucus is a non-invasive source of primary human MUC2 for structural and functional characterization in health and disease - Journal of Biological Chemistry
image size: 2691x4342
THE EUROPEAN ANIMATION JOURNAL - FALL 2024 by BM srl - Issuu, image size:1308x1875
THE EUROPEAN ANIMATION JOURNAL - FALL 2024 by BM srl - Issuu
image size: 1308x1875
A terrible passage from Africa: Remembering the Transatlantic slave trade, image size:1132x886
A terrible passage from Africa: Remembering the Transatlantic slave trade
image size: 1132x886
Water electrolysis: from textbook knowledge to the latest scientific  strategies and industrial developments, image size:3088x4250
Water electrolysis: from textbook knowledge to the latest scientific strategies and industrial developments
image size: 3088x4250
Cryo-EM structure of endogenous Pfs230:Pfs48/45 complex with six antibodies  reveals mechanisms of malaria transmission-blocking activity: Immunity, image size:1080x1920
Cryo-EM structure of endogenous Pfs230:Pfs48/45 complex with six antibodies reveals mechanisms of malaria transmission-blocking activity: Immunity
image size: 1080x1920
WinterTime Wonderland Jade: My First Bratz Doll, image size:3499x2270
WinterTime Wonderland Jade: My First Bratz Doll
image size: 3499x2270
Fecal-adherent mucus is a non-invasive source of primary human MUC2 for  structural and functional characterization in health and disease - Journal  of Biological Chemistry, image size:2931x4167
Fecal-adherent mucus is a non-invasive source of primary human MUC2 for structural and functional characterization in health and disease - Journal of Biological Chemistry
image size: 2931x4167
Cryo-EM structure of endogenous Pfs230:Pfs48/45 complex with six antibodies  reveals mechanisms of malaria transmission-blocking activity: Immunity, image size:4789x5719
Cryo-EM structure of endogenous Pfs230:Pfs48/45 complex with six antibodies reveals mechanisms of malaria transmission-blocking activity: Immunity
image size: 4789x5719
Frontiers | Scalable Production of Human Mesenchymal Stromal Cell-Derived  Extracellular Vesicles Under Serum-/Xeno-Free Conditions in a  Microcarrier-Based Bioreactor Culture System, image size:3500x3161
Frontiers | Scalable Production of Human Mesenchymal Stromal Cell-Derived Extracellular Vesicles Under Serum-/Xeno-Free Conditions in a Microcarrier-Based Bioreactor Culture System
image size: 3500x3161
Fecal-adherent mucus is a non-invasive source of primary human MUC2 for  structural and functional characterization in health and disease - Journal  of Biological Chemistry, image size:1500x1654
Fecal-adherent mucus is a non-invasive source of primary human MUC2 for structural and functional characterization in health and disease - Journal of Biological Chemistry
image size: 1500x1654
Design and Modulation of Selectivity toward Vanadium(V) and Uranium(VI)  Ions: Coordination Properties and Affinity of Hydroxylamino-Triazine  Siderophores | Inorganic Chemistry, image size:2550x3300
Design and Modulation of Selectivity toward Vanadium(V) and Uranium(VI) Ions: Coordination Properties and Affinity of Hydroxylamino-Triazine Siderophores | Inorganic Chemistry
image size: 2550x3300
MoaB2, a newly identified transcription factor, binds to σA in  Mycobacterium smegmatis | Journal of Bacteriology, image size:1214x1214
MoaB2, a newly identified transcription factor, binds to σA in Mycobacterium smegmatis | Journal of Bacteriology
image size: 1214x1214
Latte Spray Can (12oz) by Drip®, image size:3500x2446
Latte Spray Can (12oz) by Drip®
image size: 3500x2446
Fecal-adherent mucus is a non-invasive source of primary human MUC2 for  structural and functional characterization in health and disease - Journal  of Biological Chemistry, image size:1014x1473
Fecal-adherent mucus is a non-invasive source of primary human MUC2 for structural and functional characterization in health and disease - Journal of Biological Chemistry
image size: 1014x1473
Obras da Estação Santa Marina da Linha 6-Laranja Avançam, image size:1186x1701
Obras da Estação Santa Marina da Linha 6-Laranja Avançam
image size: 1186x1701
Tutorial de Bandera de Brasil con Papalote, image size:2048x2048
Tutorial de Bandera de Brasil con Papalote
image size: 2048x2048
Untitled, image size:1080x1920
Untitled
image size: 1080x1920
Tapeçaria Vaporwave , suspensão de parede Synthwave, decoração de casa  Retrowave dos anos 80, impressão artística vertical, eclética e descolada -  pôr ..., image size:692x1280
Tapeçaria Vaporwave , suspensão de parede Synthwave, decoração de casa Retrowave dos anos 80, impressão artística vertical, eclética e descolada - pôr ...
image size: 692x1280
25 Things To Do In Porto Portugal: A Complete Guide, image size:1920x1080
25 Things To Do In Porto Portugal: A Complete Guide
image size: 1920x1080
A dolabralexin-deficient mutant provides insight into specialized  diterpenoid metabolism in maize (Zea mays) | bioRxiv, image size:1835x1402
A dolabralexin-deficient mutant provides insight into specialized diterpenoid metabolism in maize (Zea mays) | bioRxiv
image size: 1835x1402
Pls someone help me. how tf dye this cape?😔🥀#SkybarStory, image size:640x3077
Pls someone help me. how tf dye this cape?😔🥀#SkybarStory
image size: 640x3077
Effectively Exerting the Reinforcement of Dopamine Reduced Graphene Oxide  on Epoxy-Based Composites via Strengthened Interfacial Bonding | ACS  Applied Materials \u0026 Interfaces, image size:1150x1204
Effectively Exerting the Reinforcement of Dopamine Reduced Graphene Oxide on Epoxy-Based Composites via Strengthened Interfacial Bonding | ACS Applied Materials \u0026 Interfaces
image size: 1150x1204
Manufacture of thermoplastic molds by fused filament fabrication 3D  printing for rapid prototyping of polyurethane foam molded products -  ScienceDirect, image size:1000x1060
Manufacture of thermoplastic molds by fused filament fabrication 3D printing for rapid prototyping of polyurethane foam molded products - ScienceDirect
image size: 1000x1060
Hilo, Hawaii, 1991, image size:1080x1920
Hilo, Hawaii, 1991
image size: 1080x1920
Quimica_3_MP_0041P18123_PNLD2018 (1) - Flipbook by Suelleny Alvin |  FlipHTML5, image size:1840x480
Quimica_3_MP_0041P18123_PNLD2018 (1) - Flipbook by Suelleny Alvin | FlipHTML5
image size: 1840x480
Design and Modulation of Selectivity toward Vanadium(V) and Uranium(VI)  Ions: Coordination Properties and Affinity of Hydroxylamino-Triazine  Siderophores | Inorganic Chemistry, image size:1427x1106
Design and Modulation of Selectivity toward Vanadium(V) and Uranium(VI) Ions: Coordination Properties and Affinity of Hydroxylamino-Triazine Siderophores | Inorganic Chemistry
image size: 1427x1106
Passando sufoco 🥲😂 #terceirao2025 #foryoupage #trendingvideo  #dinheiroonline #terceirao #enem, image size:1200x1200
Passando sufoco 🥲😂 #terceirao2025 #foryoupage #trendingvideo #dinheiroonline #terceirao #enem
image size: 1200x1200
A terrible passage from Africa: Remembering the Transatlantic slave trade, image size:1200x1200
A terrible passage from Africa: Remembering the Transatlantic slave trade
image size: 1200x1200
Since my fuel gauge surgery worked out to be successful, I figured let's  see if I can ruin my tach. I didn't like the mpg needle being there. Made  it look too, image size:1280x1152
Since my fuel gauge surgery worked out to be successful, I figured let's see if I can ruin my tach. I didn't like the mpg needle being there. Made it look too
image size: 1280x1152
Conjunto De Bandeiras De Todo O Mundo Designs Planos Minimalistas Com  Contornos Em Negrito Vetor PNG , Burundi, Ruanda, Preto Ilustração Imagem  em Pngtree, Royalty Free, image size:2048x1587
Conjunto De Bandeiras De Todo O Mundo Designs Planos Minimalistas Com Contornos Em Negrito Vetor PNG , Burundi, Ruanda, Preto Ilustração Imagem em Pngtree, Royalty Free
image size: 2048x1587
Mundo a Vapor (2026) - All You Need to Know BEFORE You Go (with Reviews), image size:1080x1920
Mundo a Vapor (2026) - All You Need to Know BEFORE You Go (with Reviews)
image size: 1080x1920
Mechanisms of Action and Persistent Neuroplasticity by Drugs of Abuse -  Pharmacological Reviews, image size:1536x2048
Mechanisms of Action and Persistent Neuroplasticity by Drugs of Abuse - Pharmacological Reviews
image size: 1536x2048
Habitat and Water Quality Advisory Committee Virtual Meeting via WebEx  October 20, 2021 6 p.m., image size:1200x833
Habitat and Water Quality Advisory Committee Virtual Meeting via WebEx October 20, 2021 6 p.m.
image size: 1200x833
Dissidentes das Farc chegam ao extremo Leste da Venezuela e controlam  região - InfoAmazonia, image size:1200x1099
Dissidentes das Farc chegam ao extremo Leste da Venezuela e controlam região - InfoAmazonia
image size: 1200x1099
How to make a MUSHROOM banner in Minecraft ! 🍄 #banner #minecrafttutorial  #design #minecrafthacks #minecraft #mushroom, image size:1041x899
How to make a MUSHROOM banner in Minecraft ! 🍄 #banner #minecrafttutorial #design #minecrafthacks #minecraft #mushroom
image size: 1041x899
Photo-responsive shape memory polymers: a critical review of synthesis,  actuation principles, and functional applications, image size:1342x856
Photo-responsive shape memory polymers: a critical review of synthesis, actuation principles, and functional applications
image size: 1342x856
What to use for camper interior ceiling finish?, image size:956x1280
What to use for camper interior ceiling finish?
image size: 956x1280
Regional differences in Hg contents in the liver and muscle of the green  turtle (Chelonia mydas) from three foraging grounds in Northeast Brazil |  Environmental Science and Pollution Research, image size:1300x1045
Regional differences in Hg contents in the liver and muscle of the green turtle (Chelonia mydas) from three foraging grounds in Northeast Brazil | Environmental Science and Pollution Research
image size: 1300x1045
Impedance spectroscopy of the cell/nanovolcano interface enables  optimization for electrophysiology | Microsystems \u0026 Nanoengineering, image size:1200x839
Impedance spectroscopy of the cell/nanovolcano interface enables optimization for electrophysiology | Microsystems \u0026 Nanoengineering
image size: 1200x839
Mapa de bandeiras monarquistas da Ásia : r/monarchism, image size:1200x980
Mapa de bandeiras monarquistas da Ásia : r/monarchism
image size: 1200x980
The Problem of Race in Brazilian Painting, c. 1850–1920 - Cardoso - 2015 -  Art History - Wiley Online Library, image size:1664x1940
The Problem of Race in Brazilian Painting, c. 1850–1920 - Cardoso - 2015 - Art History - Wiley Online Library
image size: 1664x1940
COASTAL HABITAT PROTECTION PLAN 2021 AMENDMENT UPDATE CHPP STEERING  COMMITTEE MEETING MINUTES AUGUST 3, 2021 CHPP 2021 AMENDMENT, image size:2047x2026
COASTAL HABITAT PROTECTION PLAN 2021 AMENDMENT UPDATE CHPP STEERING COMMITTEE MEETING MINUTES AUGUST 3, 2021 CHPP 2021 AMENDMENT
image size: 2047x2026
A dolabralexin-deficient mutant provides insight into specialized  diterpenoid metabolism in maize (Zea mays) | bioRxiv, image size:2253x2171
A dolabralexin-deficient mutant provides insight into specialized diterpenoid metabolism in maize (Zea mays) | bioRxiv
image size: 2253x2171
Green synthesis of cellulose nanocrystal/ZnO bio-nanocomposites exerting  antibacterial activity and downregulating virulence toxigenic genes of  food-poisoning bacteria | Scientific Reports, image size:3279x4208
Green synthesis of cellulose nanocrystal/ZnO bio-nanocomposites exerting antibacterial activity and downregulating virulence toxigenic genes of food-poisoning bacteria | Scientific Reports
image size: 3279x4208
Green synthesis of cellulose nanocrystal/ZnO bio-nanocomposites exerting  antibacterial activity and downregulating virulence toxigenic genes of  food-poisoning bacteria | Scientific Reports, image size:3323x3976
Green synthesis of cellulose nanocrystal/ZnO bio-nanocomposites exerting antibacterial activity and downregulating virulence toxigenic genes of food-poisoning bacteria | Scientific Reports
image size: 3323x3976
História | Uma (in)certa antropologia | Página 2, image size:2795x1573
História | Uma (in)certa antropologia | Página 2
image size: 2795x1573
Fecal-adherent mucus is a non-invasive source of primary human MUC2 for  structural and functional characterization in health and disease - Journal  of Biological Chemistry, image size:1350x1800
Fecal-adherent mucus is a non-invasive source of primary human MUC2 for structural and functional characterization in health and disease - Journal of Biological Chemistry
image size: 1350x1800
PNLD20_Portugues_ConexaoUso_9ano_PR - Flipbook by Amanda Talarica |  FlipHTML5, image size:1400x1003
PNLD20_Portugues_ConexaoUso_9ano_PR - Flipbook by Amanda Talarica | FlipHTML5
image size: 1400x1003
Acute myeloid leukemia mitochondria hydrolyze ATP to support oxidative  metabolism and resist chemotherapy | Science Advances, image size:1464x1920
Acute myeloid leukemia mitochondria hydrolyze ATP to support oxidative metabolism and resist chemotherapy | Science Advances
image size: 1464x1920
LAW OVUM 1-1?)ORC, image size:1139x725
LAW OVUM 1-1?)ORC
image size: 1139x725
Acute myeloid leukemia mitochondria hydrolyze ATP to support oxidative  metabolism and resist chemotherapy | Science Advances, image size:1933x1541
Acute myeloid leukemia mitochondria hydrolyze ATP to support oxidative metabolism and resist chemotherapy | Science Advances
image size: 1933x1541
Polycyclic Aromatic Hydrocarbons (PAHs) in Freshwater Systems: A  Comprehensive Review of Sources, Distribution, and Impacts[v1] |  Preprints.org, image size:2047x1766
Polycyclic Aromatic Hydrocarbons (PAHs) in Freshwater Systems: A Comprehensive Review of Sources, Distribution, and Impacts[v1] | Preprints.org
image size: 2047x1766
Pasărea măiastră - Flipbook by irinamarandici58 | FlipHTML5, image size:1653x2173
Pasărea măiastră - Flipbook by irinamarandici58 | FlipHTML5
image size: 1653x2173
Revista Roper's Sports - ed. 11 - Portal Cavalus | PDF Online | FlipHTML5, image size:3024x4032
Revista Roper's Sports - ed. 11 - Portal Cavalus | PDF Online | FlipHTML5
image size: 3024x4032
Manufacture of thermoplastic molds by fused filament fabrication 3D  printing for rapid prototyping of polyurethane foam molded products -  ScienceDirect, image size:1926x2985
Manufacture of thermoplastic molds by fused filament fabrication 3D printing for rapid prototyping of polyurethane foam molded products - ScienceDirect
image size: 1926x2985
pdfcookie.com_6-o-ano-tecendo-linguagens-lingua-portuguesa-manual-do-professor  - Flipbook by Maria Melo | FlipHTML5, image size:1575x1448
pdfcookie.com_6-o-ano-tecendo-linguagens-lingua-portuguesa-manual-do-professor - Flipbook by Maria Melo | FlipHTML5
image size: 1575x1448
André Augusto Rodrigues Salgado Leonardo José Cordeiro Santos Julio César  Paisani Editors Environment, Vegetati, image size:2951x1962
André Augusto Rodrigues Salgado Leonardo José Cordeiro Santos Julio César Paisani Editors Environment, Vegetati
image size: 2951x1962
THE EUROPEAN ANIMATION JOURNAL - FALL 2024 by BM srl - Issuu, image size:2606x2685
THE EUROPEAN ANIMATION JOURNAL - FALL 2024 by BM srl - Issuu
image size: 2606x2685
Experimental and Theoretical Study of the Influence of the State of  Dispersion of Graphene on the Percolation Threshold of Conductive  Graphene/Polystyrene Nanocomposites | ACS Applied Materials \u0026 Interfaces, image size:4032x3024
Experimental and Theoretical Study of the Influence of the State of Dispersion of Graphene on the Percolation Threshold of Conductive Graphene/Polystyrene Nanocomposites | ACS Applied Materials \u0026 Interfaces
image size: 4032x3024
MoaB2, a newly identified transcription factor, binds to σA in  Mycobacterium smegmatis | Journal of Bacteriology, image size:1600x1600
MoaB2, a newly identified transcription factor, binds to σA in Mycobacterium smegmatis | Journal of Bacteriology
image size: 1600x1600
The Problem of Race in Brazilian Painting, c. 1850–1920 - Cardoso - 2015 -  Art History - Wiley Online Library, image size:2128x1873
The Problem of Race in Brazilian Painting, c. 1850–1920 - Cardoso - 2015 - Art History - Wiley Online Library
image size: 2128x1873
Mangueira de ventilação do cárter? | Honda CR-V Owners Club Forums, image size:2904x2628
Mangueira de ventilação do cárter? | Honda CR-V Owners Club Forums
image size: 2904x2628
Signature redacted Signature redacted redacted, image size:2677x2280
Signature redacted Signature redacted redacted
image size: 2677x2280
An Evolutionary History of the Gangs and Factions of Rio de Janeiro, image size:1400x1244
An Evolutionary History of the Gangs and Factions of Rio de Janeiro
image size: 1400x1244
Untitled, image size:872x1280
Untitled
image size: 872x1280
PDF) Indigenous routes : interfluves and interpreters in the upper Tapajós  river (c. 1750 to c. 1950), image size:1000x932
PDF) Indigenous routes : interfluves and interpreters in the upper Tapajós river (c. 1750 to c. 1950)
image size: 1000x932

Random Photos